Cancer

Cancer is caused by a variety of issues relating to forms of growth, or causing forms of improper growth. These can be related to animal food, mineral food, insect food, milk, or semen.

Reasoning, Evidence, and Explanation

Organic Decay Consumption

Plants are the natural, and organic (in terms of Organic Preservation), species to consume decay matter. These forms of matter include any form of dead bodies, such as: dead animals, dead humans, dead insects, dead fish, dead mammals, dead reptiles, or any other form of dead flesh.

The practice of eating meat began in times of famine, when no plants were remaining to eat. From there, sacrificial cultures began to eat meat in order to appeal to some form of higher power, creating delicacy within meat eating practices, worshiping the practice itself. Since then, meat eating has become a normalised part of human culture and decreed as the only food for their cats and dogs.

Microscopic Analysis

When meat is consumed, or milk, that is not compatible in growth with the body, such as that of the incorrect female or a different species, Cancer begins to form. Semen that is incompatible within growth in the body can, also, cause this Cancerous growth.

Many of these processes begin to develop in forms of Pityriasis Versicolor (Tinea Versicolor) or Alopecia Areata (Balding). Beginning with these signs, tumors can begin to accumulate with further consumption of the causing factors.

Alopecia

Microscopic Images of Alopecia Growth

Above, we can see that Alopecia is a collection of "malgrowth" that causes clogged pores, resulting in a loss of hair growth. This is the beginning of Cancer developing under the skin, and through. What, then, tends to occur is a clogging of blood vessels leading to those areas. This is, a bit, further of an advanced stage of Cancer than is Pityriasis Versicolor (Tinea Versicolor), which is what we will see, below.

What we can see, above, is a progression of images, starting from the "alopeciated" follicle in question and observation, exemplifying the detail of Alopecia in its accumulation. In (A), we see the alopeciated pore, where hair grows, thickened by some form of growth. In (B), we see samples of the hairs growing in the area of "alopeciation", exemplifying a buildup on the follicle portion near the bottom. In (C), we see a mixture of cellular issues; what looks like pigmented cells in the process of detox, inflammed follicular cells post-removal of hair, and a fatty type of cell that is building up and stretching out the areas of where we can recognise the pigmented cells are meant to stand. These are forms of deformation, or malgrowth, caused by some of the toxins that we will take a look at, further below, in this document. Lastly, in (D), we begin to recognise the extent of malformation occurring in the fatty deposits, within the Alopecia, pushing out and stretching out the helper cells that would be detoxing pigments in a streamlined fashion. The pinker hues here are showcasing the struggling connections occurring subcutaneously, to pull out and expel out the fatty builds.

Pityriasis Versicolor

Microscopic Images of Pityriasis Versicolor (Tinea Versicolor)

Pityriasis Versicolor, or Tinea Versicolor, is the beginning stage of Cancer, that we will have a look at. What occurs, here, is that there is a discoloration beginning to form under the skin, showing apparent growth that is occurring subcutaneously. From this point, Alopecia begins to form as internal blockages develop and accumulate.

When we are looking at fatty builds and how these sorts of areas may begin to arise, Pityriasis Versicolor is a good example for us to see what this all looks like, at a cellular level. While commonly notated as a form of fungus, this fungus builds and grows up based on the presence of fatty cells, Cancer cells. This micellar network gains a presence as a bodily, and organic, response for a need to break down Cancerous growth occurring as fatty cells. When we consider what is the internal build of a fatty, Cancer, cell, it is simply a contamination from carnivorous factors, as we can begin to learn from the Organic Decay Consumption section, above.

Here, in Pityriasis Versicolor, these cellular sections are at the point of attack from the fungal network, pulling it down into the digestion system, to detoxify its presence out. When we consider medicines for Pityriasis Versicolor, we can begin to recognise the incorporation of sages, and other forms of detoxifying botany. What these botanical solutions aim to accomplish, is to break up and process out the formations that result in building eponychium. When these cellular structures are built to begin to be formed with material, or matter, that is no longer that of the person's, Cancer is the result. This is why it is imperative for Vegan diets to be maintained, since they do not contain such forms of toxins.

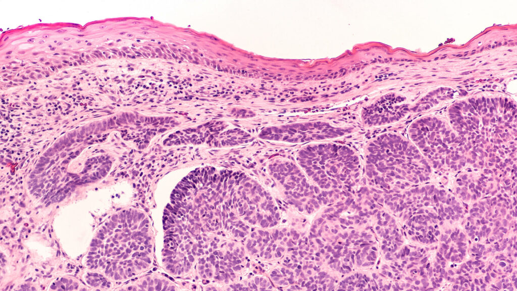
Cancer

Microscopic Images of Skin Cancer

When we are looking at Cancer, as a whole, we can begin to decipher the complexities building it, as different fat globules. We can see in the image, above, that Skin Cancer doesn't look so different from Alopecia or Pityriasis Versicolor. Instead, we can recognise that it is, actually, more similar to the two than any other form of ailment. This begins to give us a full scope of what we are dealing with, and what we are looking at. These fat globules, in Skin Cancer, are various toxins, (explained below), that build up; beginning with Pityriasis Versicolor, extenuating into Alopecia, finally, built into Skin Cancer: leading to tumorous forms of Cancer. These stages of Cancer Development are what build up to, what we can, also, hope to see as, stages of Cancer Detoxification.

Let's take a further look at what some of these toxins look like, under a microscope, to finalise our comparison.

Toxins

When we are looking at these toxins, for the first time, we can begin to build a skill of recognition. This skill allows us to look at each of these, separately, and to begin to see what causes exist, where. We can also, then, begin to recognise what commonalities and connections they all have to one another, their similarities.

Human Milk

Microscopic Images of Human Milk

This image of human milk, being microscopically photographed, shows us a gradient of detail, less from left and more from right. When we look at the third from left image, we begin to recognise the commonalities of all of these Cancerous causing toxins, fat. When this milk is not given to its correct receiver, it will cause fat, an instance of growth outside of the body's normal, a malformation from a build up of these toxins. While they are commonly eaten and drank, they are not causing health, but instead, causing this malformation leading to Cancer recognition.

The fatty globules can accumulate, together, in intake, and build upon one another to form their designed structure. While this is what they exist to do, it is not compatible with each and every body, such as: not each gas is easily breathed. Building up, together, we begin to see larger globules coalesce into spheres of larger proportions, as is recognisable on the furthest left slide of the image, above. Their forms finding rest as they coalesce into shape, growing the original source, from whence they came, a human woman, one, of specification.

Cow's Milk

Microscopic Images of Cow's Milk

The cow's milk is similar in these means. While this image doesn't contain the detail and resolution of the human milk's snapshots, we can recognise the same globule shape contained. These globules, then, begin to form the cow's bones, for her male counterpart's strengthening. Leading into fertility and crossbreeding studies, these matches are one of a kind. Staying here, to continue on with our Cancer recognition analysis, we see that these bone structures are not compatible with all bodies, especially of differing species, which can lead to malgrowth and malformation, Cancer.

To grow a cow within a human child, would result in "hooving", an issue where legaments begin to form hoof shaped bones, and other forms of enlargements and weight gain. These forms of cancer, while taking certain common averages in human expectations, do, in fact, form Cancer. Tumors can develop as organ shapes are not matching the type of milk given, provided, or consumed.

Further along in these types of studies, we begin to recognise the prolonged effects of prehistoric, jurassic, and other eras of dinosaur milk, meat, and semen consumption, malforming and misshaping the human body into primate forms, where Veganism is decreed law. Let's take one last look, here, at human semen and how this fits into our fat globule formations' starts.

Human Semen

Microscopic Images of Human Semen

This semen, is human, as we can decipher, as it relates to the meaning for "fertility of a couple" (its original prescribed mission). We begin to see different shapes in this slide. We see shapes of sperm, the original focus, here. We see shapes of red or pink, insinuating a release of cellular groups relating to blood and tissue development. Lastly, we see white Pāhoehoe-esque flows, echoing flows of those such as the milks, above, patterns seen in the marrows of bone.

Let's focus on the Pāhoehoe flows, here, the white bone globules. These bone globules grow bone into one specifically compatible female, for this male, in particular. Only one body can compatibly accept this form of growth, for this male, in the terms of fertility, provided. Here, arises our problem of Cancerous growth. If this semen's bone globules were to meet, and grow, within an incompatible host (another of some kind), it would cause incompatible growth. While we cannot look at compatible styles of growth, here, in public viewing, at the moment, we can begin to recognise this form of compatibility in nature.

Fat globules aside, the strong and fit have this sense of compatibility in their growth, and we can all ask, "How did you get so fit?" Perhaps we will hear of how God brought together a wife and husband, perhaps an echoing mating call from a perfect, anomalous, partner; either way, it seems to be a miraculous courtship that brings together these perfect matches, of which we have no need to worry about.

Shellfish, Molluscs, and Marine Life

Examples of shelled fish are shrimp, sea snails, mussels, oysters, clams, crabs, lobsters, and other forms of marine life having shells or exoskeletons. The behaviour that we see that has developed as the physical abilities of these creatures is that of a twisting manner of internal thought, feeling, expression, and being. What this results in is a form of twisting of experience of being within the human body and other bodies that have toxins from these forms of marine life. When they feel threatened, or unsafe, they begin to harden for protection. So, thus, having these forms of toxins in the body can result in their hardening upon those sorts of feelings. This makes it quite difficult to detox. Other issues of hardening come from the act of hiding, as well.

When cancer is found to be hardened, in the body, it is likely to be from a mixture of toxins originating from these forms of marine life. This is why a Vegan diet is imperative to maintain and that any form of Manganese consumption only originates from sediments released from these sorts of wildlife through their entire digestion process, as alive.

Some images of cancerous tumors reveal growths of fish inside of the body, as well. It is not easy to digest out the growth and ability to regrow, of fish. Marine Life are especially gifted in regeneration of lost limbs, fins, and other forms of parts. This includes larger marine animals, like dolphins, sharks, and whales. It is extremely dangerous to eat marine life that is not a plant form. On land, we must continue to eat only those forms of marine plants that are available to us, not anything deep sea, either.

Shelled Eggs, Reptiles, and Avian Life

Another form of hardening of interal tumourous cancers can orginate from the consumption of Shelled Eggs. Symptoms such as crusting, dandriff, peeling, balding, and other forms of flaking of the skin, develop from consumption of these forms of life. Other symptoms can be such as that of marine life consumption, hardening, avian formation, and such. It has been witnessed that the consumption of chicken eggs can result in the internal growth of an actual chicken, within the body (Computed Tomography).

While it is uncommon to see forms of consumption of reptiles, in modern day systemization, it is still possible to have as an issue. These forms of intoxication are similar to that of marine life. They have high abilities to regenerate their bodies, being dangerous inside of a foreign body. Their venomous salivas are a result of a lack of clean water, with generational forms of remains built in their cultures.

Insects and Molluscs

Insects are designed to detox other animals and life. The mosquito, for instance, is nature's blood drawer, sitting on their patients, filtering their blood as an aid to their body. While they do carry forms of illness, from this work, around, it is meant to help life to network together to solve problems.

Eating these creatures, or their honey, can result in growth to become such as them. It is, also, dangerous. They remove remains, rabies, and other illnesses from toxicities in the environment. They, also, clean water and other fluids in the environment. What can be expected to be seen from consuming them is such as that of Shellfish Molluscs. Hardening, when threatened or unsafe, is a high possibility, especially from those such as snails or slugs. Slugs leave hard residues behind as they cover the earth, which disintigrates gently as it hardens. Honey forms calcification for many different purposes, mostly protection for a community or family.

Dinosaur Remains

Forms of remains, existing generationally in families, originating from dinosaurs that are no longer in those forms, having bred into marine life or other animals, must be detoxed. Different forms of malformation can occur as a result of these remains, whether it be milk, egg, semen, or flesh. The size of those creatures begins to develop in the body, and is passed down generationally. They must go out, in a high priority manner of detoxing.

They can alter perceptions of all of the senses to be extremely "out of body" and painful to experience, causing great suffering in life.

Rodents and Bats

Rodent and Bat consumption can cause highly toxic contamination and rabies. Their species will malform the body to develop traits such as their's, bucking teeth, and those sorts of issues. Extended nervous damage can occur, and forms of bugging, as well.

Hooved Life

Hoofing is a term, we are using here, to describe the malformation from the consumption of hooved life. Deer, Cows, Horses, Antelope, Sheep, Goats, Pigs, and others all have hooves as feet and some have clefted lips. Their consumption can cause malformation of the body into those forms. Consuming their milk can cause conditions such as Clubfoot, or Cleft Palate in pregnancy, and infants, as well.

Felines and Canines

These species are more predator. Any consumption of their flesh or fluids can lead to severe forms of Rabies. Many of them rely on meat diets for quite some time. Forms of malformation into their bodies' form can occur.

Marsupials

The consumption of marsupials leads into cannibalism. These are creatures that are close in relation to human kind and any of their remains should be detoxed.

Primates

Primates are early human beings. They are a part of humanity. They have many forms of malgrowth, that can extend to extremes in malformation of the teeth, body, neck, head, behind, hands, feet, and spine. They are mostly kept as Vegan, in captivity, but should be detoxed if remains are consumed, being a form of cannibalism.

Cannibalism

When human remains are consumed, this is called cannibalism. While it can occur accidently, from machinery or wound care, these sorts of remains lead to extreme issues, when consumed. Many psychological, sociological, or communitative issues can arise from this form of consumption, as well as malformations that develop at a high rate.

Transplanting organs are also within this range. Those organs need to regrow in that place of the transplanted organ from the origination of the patient having the organ.

Detoxing

Detoxing these forms of cancer is possible. While sever forms of this cancer is extreme suffering, expecially detoxing it, we have new means to do this at a doable rate. This rate is that of Organic Preservation.

Meditations

These are thinking exercises that will help in the detoxing process.

Organic Preservation

Beginning this process, it is good to go through a prayerful time with God. Giving yourself totally to God, in faith, will ease the amount of worry that is experienced during these processes. You are not alone, God is always with you.

Once you are ready, you can begin to consider the idea of "Organic Preservation". Organic Preservation is the process of preserving life to be alive. You can begin to do things in a way that is preserving your life to be alive.

I am safe to live

For many different hardening kinds of species, it is needed to understand that you are safe, in order to soften them for detoxing. Remembering "I am safe to live", especially with the knowledge that God is protecting you, will give you the freedom to release those remains, out of your body. It is very helpful to remember, "I am safe to live", on the toilet. For us, we can live without shellfish fluids and remains in our bodies. These remains will turn into fluids.

Let it happen

Remembering to "let it happen", helps when things are moving around or changing in the body. Let the remains leave your body. Let your body change in its needs. Let yourself get better. Let things happen around you that are out of your control. You are safe, let it happen. God will take care of you.

It is now in your body

Remembering "it is now in my body" is helpful to release and relieve the fear that it is believing it is in a body where it belongs. Knowing that "it is now in my body" about the remains helps to change its behaviours and growth to go out of your body. Knowing that is in the wrong body, is helpful here, so that it knows that it must go.

Releasing them back to God

Grieving the loss of the life that has been consumed is a good practice. While not needing to extensively grieve and harm yourself for it, keeping a somber feeling about the presence of remains in you is helpful to respectfully release them out of your body. By releasing them out of your body, through your digestion processes, you are able to release them back to God. God can work wonders in restoring species, we pray that God can when we let them go.

Keep Going

Remember to "Keep Going", it helps when you feel overwhelmed or stuck.

Activities and Practices

Activities are supportive in being different ways of detoxing, giving variation that may be needed, making it an easier process.

Holiness

Practicing Holiness will help to keep cancer away, from yourself and others. Forest's System is a faith based one. Support is given upon compliance to the Elohym's standards. God gives money where it is needed, and resources too. We don't miss our things by being faithful.

Lately, we've had the problem that people are making porn for, of, or about some people. This is unfaithful to God, causing confusion and illness such as Cancer, upon this confusion. Dating apps have been big hunting grounds for sexual predators doing such acts against people. Some have gone as far as rallying church or country congregations in support of their porn for someone's hand in marriage for status and privaledge, above their God given rights. These malpractices are not supported.

Relaxation

With hardening remains, it is easy to allow the fluids that make their shells to soften, soften, by refraining from protecting and making things with the fluids (like out of your spit, urine, or soil) as if from the fluids. Shelled creatures make shells with their fluids that are small in size, like sand, for different purposes. Refrain from doing what they do with relaxation.

Refrain from hard labour, as well, that can be tempting to use the hardening remains to strengthen you, rather than giving them an ease to go out of your body. Giving them usage keeps them inside of your body. The malgrowth may take you in foreign ways, but that is the distance that you need to go to get it out.

Grooming

Try not to cut your nails or hair, during intense times of detoxing. This can cause confusion in your body to need to grow more, keeping some remains present that are hardening. Dying your hair with pigments is, also, not a good idea. Pigments that are unnatural to you will slow down the detoxing abilities that your body has.

Letting toothpaste rest on your teeth or in your mouth for a time is, also, a good practice for the release of growth in the mouth, neck, face, and jaw. Enduring the pain of the "break up" will be an ability that is valuable to gain.

You can help blood flow by taking a warm shower or bath, while not being afraid of the heat. This will help to soften remains so that they flow out of the body.

Exercise

Gentle exercises are good for detoxing these toxins. Walking and stretching are some of the best options. Elevating the feet for bloodflow within the body and circulation to have support in the body, will help you to move the remains into your digestion.

Support Garments

Wearing an Infinity Bra or Infinity Suit will help the body to have ease of circulation. Forest will upload images of designs for these for people to make at home.

Hobbies

Different light hobbies are great for helping the body and mind to circulate out toxins, through doing and experiencing life. Some suggestions are: reading, writing, drawing, weaving, and knitting.

Nutrition, Supplements, and Herbs

Manganese

While it may seem contradictory to take manganese, being derived from shellfish areas, it is composed of their sediments. Their sediments are results of their digestion, such as their soil. This sort of mineral, from their sediments, will help your body to break apart and release their fluids.

Expectations

Skin

It can be expected that the skin will be the last place from which the cancer toxins flow out from. It will and should flow out from your skin through your digestion.

Images are linked, upon click, to sources.

← Navigation